As facetas são lâminas finas aplicadas sobre os dentes naturais, indicadas para corrigir:
Tudo é feito na própria clínica: análise do sorriso, fotos e escaneamento digital. Isso nos permite planejar com exatidão cada detalhe e apresentar uma prévia do resultado.
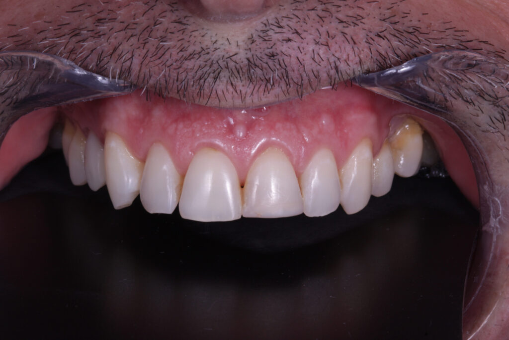
De forma minimamente invasiva, os dentes são preparados para receber as facetas. Com tecnologia de ponta, realizamos provas digitais ou físicas antes da aplicação definitiva.
As facetas são cimentadas com precisão. Em casos mais simples, o sorriso renovado pode ser entregue no mesmo dia. Em tratamentos mais completos, o tempo médio é de até 30 dias.














Depende do tipo. Algumas exigem preparo do dente (remoção de uma fina camada de esmalte), outras são minimamente invasivas. Nosso especialista irá orientar na escolha ideal.
Ambas têm excelente resultado. A de resina é mais acessível e pode ser feita rapidamente. A de porcelana oferece maior durabilidade e estética superior.
O tempo varia conforme o caso, mas em média o resultado é entregue entre 1 e 4 sessões. Em alguns casos, é possível sair com o novo sorriso no mesmo dia.
Não. Quando feitas por profissionais qualificados e com tecnologia adequada, as facetas preservam a estrutura dentária e trazem resultados duradouros e seguros.
Nossa equipe especializada está te aguardando para tirar todas as suas dúvidas
Agende sua avaliação agora e descubra como transformar pequenos detalhes em grandes mudanças.